Welcome to The Maryland Center for Complete Dentistry in Owings Mills, MD.
When you need cosmetic dental services to revitalize your smile, you want a dentist office who delivers superior service and excellent results. You want an experienced dentist with advanced training to take care of your treatment. And you want a dentist office who uses modern technology so you can get the best care available. We accept most dental insurances!
When you need a dentist in Maryland, you want Dr. Jonathan Silverman at the Maryland Center for Complete Dentistry.
Dr. Silverman has been creating healthy, beautiful smiles in the greater Baltimore, MD area for over 25 years. With over 35 years of professional experience and dedication to expanding his skills and knowledge in dentistry, he is uniquely qualified to handle advanced and complex cosmetic dental services cases. No matter the state of your dental hygiene, Dr. Silverman can help make your smile better than it's ever been
"There’s so much fun to be had making people smile"
- Dr. Jonathan Silverman
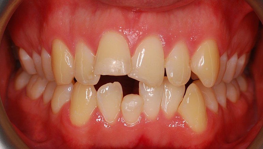
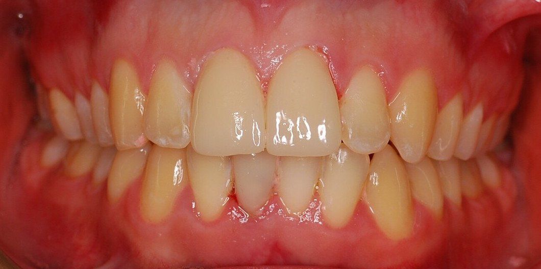
Smile Makeover (Before & After)
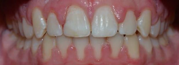
Invisalign (Before & After)
Teeth Whitening (Before & After)
Patient Testimonials
The Best Dentist in Maryland
Dr. Silverman has been treating patients in Owings Mills, MD 21117 and the surrounding communities for over 25 years. He is one of only 5% of dentists nationwide to have achieved Mastership in the Academy of General Dentistry for his hard work in continuing education. If you're looking for the best Maryland dentist, you've found him!
Click here to learn more about Dr. Silverman's experience and credentials.

NEW PATIENT SPECIAL: FREE X-RAY & EXAM WITH DR. SILVERMAN*
*Restrictions can apply. Also fees apply for additional services.
Restrictions: During COVID-19, to cover the cost of doctors exam, x-rays and new safety precautions a minimum fee of $81 can apply to same day/emergency/consultation appointments.
Our Services
Our office provides comprehensive dental care treatment options. Our dental hygienists understand that your time is valuable, which is why we deliver most major dental services under one roof. Our goal is to help you achieve and maintain a smile that is both healthy and attractive. That's why we personalize your care to your unique circumstances in life. Additionally, Dr. Silverman and his dental hygienists want to make sure that all our patients are confident and educated in how to take care of their dental hygiene. We are happy to answer any questions you may have about proper oral hygiene, dental exams, root canal therapy, and lifestyle improvements that will help your teeth, and any other concerns you may have about your dental health.
We focus on three main areas of dental care treatment at our office:
Our Dental Office in Maryland
At our dental office Maryland Center for Complete Dentistry in Owings Mills MD 21117 we are dedicated to improving lives one smile at a time. Our office is equipped to provide comprehensive dental treatment and dental examinations. This means fewer referrals and less time spent at the dentist. But when you do come to visit, you'll be taken care of by our friendly staff in a comfortable environment dental pain free. Our service-focused approach is why our patients love coming back to see us for their dental care!
We only use the highest-quality materials and tools for all our dental services. Whether you need preventative or restorative dental work such as dental sealants, root canals, and teeth cleaning to prevent gum disease, you can rest assured that your treatment with dental insurance will be done with the utmost care in a comfortable environment. Every material we use, from fillings to implants and beyond, is only chosen after thorough research on its safety, effectiveness and durability. We take pride in our work, and we strive to give you the best service we can every single day. Our patients that achieve beautiful smiles in Owings Mills MD 21117 are ecstatic about their results because our work addresses both form and function so their smiles are both beautiful and long-lasting.
On top of our excellent service and quality of our great practice, our Maryland office our dental hygienists stay up to date with the most advanced technology available in dentistry ensuring you have a pleasant experience every time you step into our office. This is an ever-evolving field and when new technologies are discovered that improve your patient experience, we bring them into our office! Not only does this guarantee better technical accuracy and results, but it also improves your comfort during your treatment plan. We accept most payment options and dental insurances!
Ready to see for yourself?
Schedule your appointment online
or call us today at
(443) 228-6076
to find out how our dental hygienists can transform your smile.

Dr. Silverman has been featured in
Maryland's Top Dentist
Schedule Your Appointment Today
Are you ready to transform your smile and improve your dental hygiene?
Schedule your dental appointment online or call us today at (443) 228-6076.
Our office is located in Owings Mills, MD 21117. For detailed information about your first visit,
click here. If you'd like to save time, you can always
fill out your patient health forms and bring them with you to your first appointment. And don't forget to check out our
special offers!

































